Loading...

How Flat Feet Affect Knock Knees

  • Posted by:Dr. Ishita Srivastava
How Flat Feet Affect Knock Knees
How Flat Feet Affect Knock Knees: Understanding the Biomechanical Link

 

   
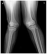
Flat feet, or pes planus, occur when the natural arch of the foot collapses, resulting in excessive inward rolling (overpronation) of the foot during standing and walking. While this condition is often seen as a localized foot issue, its effects extend far beyond the feet, impacting the alignment of the entire lower body. One significant downstream effect of flat feet is the development or worsening of knock knees (genu valgum).

The Connection Between Flat Feet and Knock Knees


 
Your body is like a chain where all the parts are connected. When one part is out of balance, it affects the others.
Flat feet can impact the knees by causing the shinbone (tibia) to rotate inward. This inward rotation can shift the kneecap (patella) and patellar tendon slightly inward as well, resulting in a "knock-kneed" appearance. The misalignment doesn’t stop at the knees—it can also affect the hips and even the lower back, leading to more pain and discomfort.

Problems That Can Arise

When flat feet cause knock knees, you might notice:
•    Knee Pain: The uneven pressure on the knees can cause discomfort, especially on the inside of the joint.


 
•    Worn-Out Joints: Over time, the misalignment can wear down the cartilage in your knees, increasing the risk of arthritis.


 
•    Difficulty Walking: The altered alignment can make walking feel awkward or tiring.


 
•    Hip or Back Pain: The poor alignment can strain other parts of your body, like your hips or lower back.


 
How to Fix It

The good news is that flat feet and knock knees can often be improved with the right treatment:
1. Support for Your Feet:
Custom shoe inserts (orthotics) can help support your arches and stop your feet from rolling inward.


 
2. Exercises to Strengthen and stretching of tight Muscles:
Strengthening the muscles in your feet, legs, and hips can help keep your alignment in check. Simple exercises like calf raises or hamstring stretch also makes a big difference. Stretching muscles help reduce tension and improve your posture.


 
3. Wear Proper Shoes:
Shoes with good arch support and cushioning can help keep your feet and legs aligned while you walk.


 
4. Consult a Specialist:
If your knock knees or flat feet are severe, a podiatrist doctor can recommend more advanced treatments, such as braces or surgery in extreme cases.


 
If you have flat feet and notice that your knees are turning inward, don’t ignore it. Simple steps like wearing supportive shoes or doing strengthening exercises can help improve your alignment, reduce pain, and protect your joints in the long run. A podiatrist can guide you through the best options to get you back on your feet comfortably!
 


Added to your shopping cart successfully.

Added to your shopping cart successfully.
Ditsy Floral Dress

Color: Gray

1 X $113.88

Total: $113.88